100th Anniversary of theUniversity of Ljubljana:Celebrating Excellence in Education, Science and Research
V okviru 100 obletnice Univerze v Ljublljani prireja Slovensko gospodarsko in raziskovalno združenje v...
V okviru 100 obletnice Univerze v Ljublljani prireja Slovensko gospodarsko in raziskovalno združenje v...
Največja in najstarejša univerza v Sloveniji, ki praznuje stoletnico obstoja, v slovensko zakladnico znanja...
Slovensko gospodarsko in raziskovalno združenje (SBRA) iz Bruslja je tudi letos pripravilo tradicionalne...
Podnebna kriza, termin, ki naj bi ga začeli po mnenju strokovnjakov uporabljati namesto sintagme podnebne...
Laboratorij za mikroelektroniko Fakultete za elektrotehniko (LMFE) deluje na področju izobraževanja,...
...
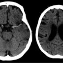
Raziskovalci na Massachusetts Institute of Technology (MIT) so razvili sondo, ki jo kirurg lahko previdno...
Slovenska matica pripravlja v ponedeljek, 16. decembra ob 18. uri razpravni večer na temo Slovenščina med...
Na Univerzitetnem kliničnem centru (UKC) Ljubljana je potekala mednarodna konferenca “Brain Tumors: From...
V obsežni analizi z zgornjim naslovom se David Greaber nasloni na knjigo Roberta Skidelskyja – „Money and...